New: a different kind of AI pathology

AI Pathology for everyone

A new kind of AI tool for pathology—low cost, minimal setup, truly accessible. Upload your slides and get results in minutes. No IT, no hardware, no long contracts.

Low cost
Minimal setup
Accessible to all

Model capabilities

Explore what Pathbox AI can do across your workflows.

TIQ
Tissue IQ before Tissue IQ after

Tissue IQ

Trust your inputs

Detects artifacts and tissue quality to ensure reliable analysis.

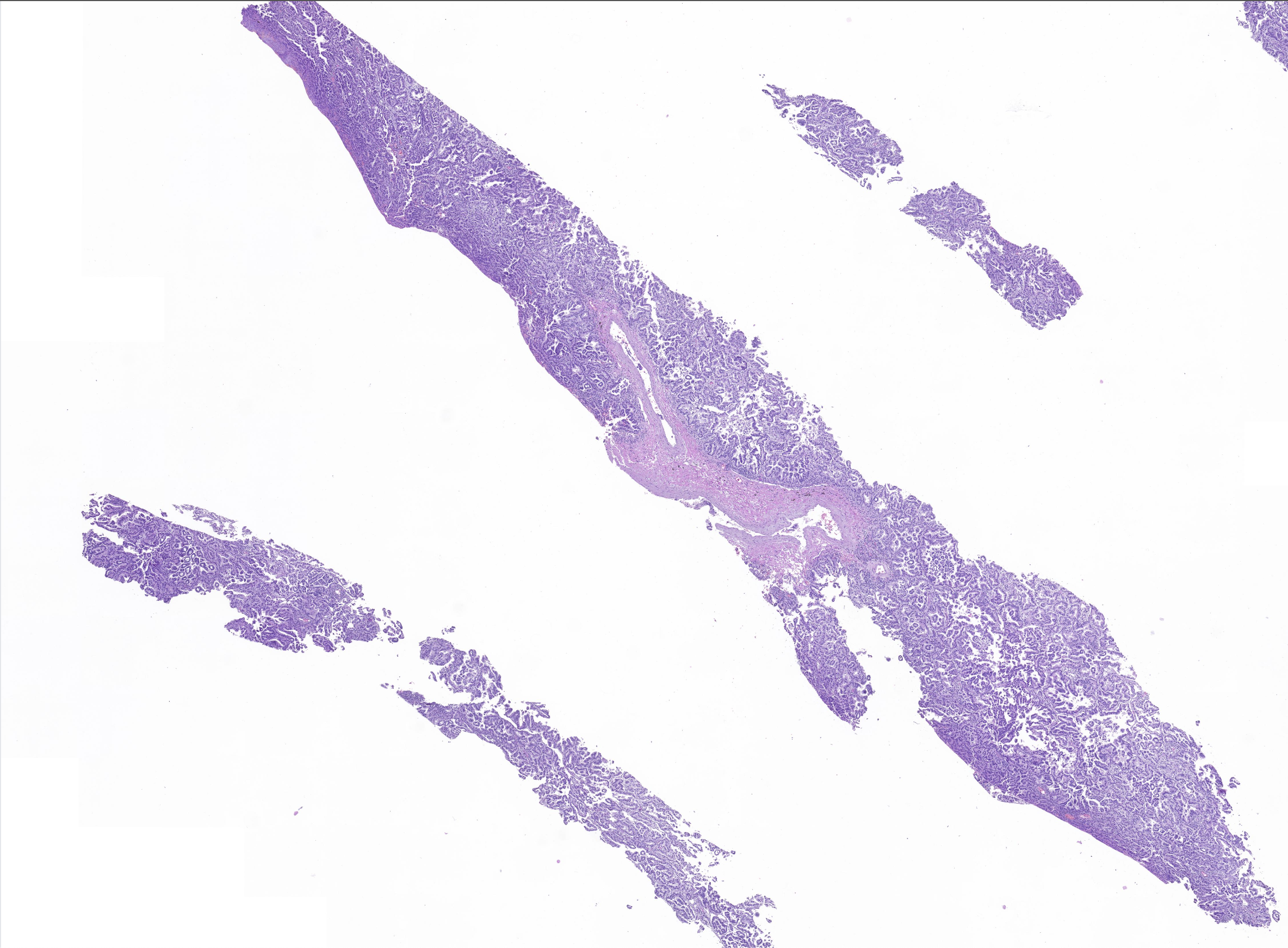
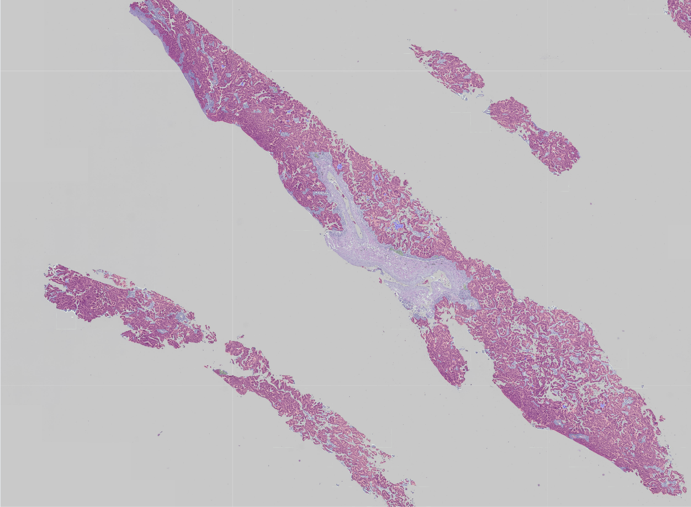
OSG
OncoSeg before OncoSeg after

OncoSeg

Find what matters

Pixel-accurate segmentation to localize tumor regions. Lymphocytic infiltrate, Stroma, Necrosis, Mucin.

BPS
Biopsy before Biopsy after

Biopsy

Compare before/after

Visualize biopsy improvements and effects with clear overlays.

TMA
Demo image

TMA

Tissue Microarray

Analyze tissue microarrays with automated spot detection and quantification.

GRS Soon
Coming Soon

GradeSense

Standardize grading

Automated grading to standardize reporting.

PathReport

Share clear results. Generate structured summaries and export to your systems.

PathReport

PathReport

Generate structured summaries and export to your systems. Grayscale preview turns to color on hover.

Results in minutes. Minimal setup.

Skip the vendor calls and installs. Just create your account, upload your slides, and submit. Pathbox runs everything in the cloud—no IT tickets, no servers, no configuration. Bring your images, get your results.

1 Sign up
2 Upload slides
3 Submit & get results

Most runs complete in a few minutes.

Drag & drop slides here
Processing 12%
No IT support required. Runs in your region.

Made for your workflow

Low barrier, low friction, easy to use. Whether you read slides, run studies, manage a lab, or ship drugs—Pathbox works in your browser with minimal setup.

Pathologists

  • Zero‑install, runs in your browser—no IT tickets
  • Upload WSI/TIFF; QC and tumor segmentation out of the box
  • Results in minutes you can review and share

HIPAA-friendly workflows; de‑identified outputs available.

Simple, transparent pricing

Self‑serve tiers for everyone. Enterprise options when you scale.

Starter

Free

For individuals to get started

  • Core AI models: segmentation, QC
  • 100GB storage, 30-day retention
  • Mid compute speed
  • Email signup
  • Basic reporting
Start Free

Business

Contact us

For teams that need collaboration

  • All Starter features + advanced collaboration (multi-project, permissions)
  • Unused quota rollover
  • 100GB storage + rollover images
  • High compute speed
  • SSO integration
  • Advanced reporting
Request Access

Enterprise

Contact us

For organizations at scale

  • Custom image quota, storage, retention
  • All Business features + extended segmentation categories & prediction models
  • Ultra compute speed
  • White-glove onboarding & dedicated engineer
  • Custom analytics, SLAs, and integrations
Contact us